Skip to main content
Intended for healthcare professionals
Open access
Research article
First published online May 9, 2016

DNA Source Selection for Downstream Applications Based on DNA Quality Indicators Analysis

Abstract

High-quality human DNA samples and associated information of individuals are necessary for biomedical research. Biobanks act as a support infrastructure for the scientific community by providing a large number of high-quality biological samples for specific downstream applications. For this purpose, biobank methods for sample preparation must ensure the usefulness and long-term functionality of the products obtained. Quality indicators are the tool to measure these parameters, the purity and integrity determination being those specifically used for DNA. This study analyzes the quality indicators in DNA samples derived from 118 frozen human tissues in optimal cutting temperature (OCT) reactive, 68 formalin-fixed paraffin-embedded (FFPE) tissues, 119 frozen blood samples, and 26 saliva samples. The results obtained for DNA quality are discussed in association with the usefulness for downstream applications and availability of the DNA source in the target study. In brief, if any material is valid, blood is the most approachable option of prospective collection of samples providing high-quality DNA. However, if diseased tissue is a requisite or samples are available, the recommended source of DNA would be frozen tissue. These conclusions will determine the best source of DNA, according to the planned downstream application. Furthermore our results support the conclusion that a complete procedure of DNA quantification and qualification is necessary to guarantee the appropriate management of the samples, avoiding low confidence results, high costs, and a waste of samples.

Introduction

A DNA bank has been defined as an unlimited source of stable genomic DNA, which offers the possibility to researchers of carrying out genetic analysis and of testing new hypotheses about pathophysiology and prognostic/diagnostic factors for diseases, even years after the withdrawal of the sample.1 DNA banks constitute an important repository of samples, which are collected, processed, and stored in accordance with rigorous quality criteria. The value of DNA banks is optimized by collecting data and samples under formal standard operating procedures, and the accurate and precise assessment of disease status, biomarkers, physiological processes, and social and environmental factors.2
Before using DNA samples in analytical techniques, the quality and usability must be determined through DNA quality indicators, which include DNA purity and integrity. The ratio of absorbance at 260 and 280 nm is used to assess DNA purity.3 A ratio of ∼1.8 is generally accepted as “pure” for DNA.4 If the ratio is appreciably lower (≤1.6), it may indicate the presence of proteins, phenol, or other contaminants that absorb strongly at or near 280 nm. To the contrary, since absorbance readings cannot discriminate between DNA and RNA, the presence of RNA can lead to the ratio increasing and this possibility must be considered to avoid DNA over quantification.5 The 260/230 ratio is widely used as a secondary measure of DNA purity.6,7 Expected 260/230 values for “pure” DNA are commonly within the range between 2.0 and 2.2. If the ratio is appreciably lower than expected, it may indicate the presence of contaminants that absorb at 230 nm such as proteins,8 guanidine HCL (used for DNA isolations), EDTA, carbohydrates, lipids, salts, or phenol.9 The 260/230 ratio is considered a questionable DNA quality indicator because of the instability of this value when a saline elution buffer is used to dissolve the DNA. It is due to the higher increase of salt concentration than DNA concentration in the sample. Consequently, out of two DNA samples with the same purity, the less concentrated sample will show lower 260/230 ratio because of salts absorbance at 230 nm.
It has been reported that DNA absorption depends on the solvent used. Acidic solutions will under represent the 260/280 ratio by 0.2–0.3, whereas a basic solution will over represent the ratio by 0.2–0.3. Therefore, if comparing the 260/280 ratio for different DNA samples, it is important to ensure that the pH and ionic strength of the elution buffers used are the same.10 Moreover, absorbance at 260 nm and the 260/280 values are reproducible when low-salt buffer is used as the elution buffer, but not water.
Reliable measurement of DNA concentration is also important for many molecular biology applications. DNA concentration is generally calculated using Lambert–Beer law from spectrophotometric analysis of the absorption at 260 nm (A260).11 A260 between 0.1 and 1.0 corresponds to reproducible and reliable values, and highly concentrated DNA samples should be diluted. The measurement of DNA concentration at a lower range can be strongly affected by light scattering on dust particles present in the sample. This method for measuring concentration is relatively nonsensitive as 0.1 corresponds to 5 ng/μL of double-stranded DNA (dsDNA).
Normal handling of laboratory microtubes causes leaching of light-absorbing chemicals into biological samples such as DNA, which may affect spectrophotometric measurements as already described.12 These chemicals strongly absorb UV light at 260 nm, interfering with DNA quantification, with the magnitude of the increase in absorbance dependent upon both exposure time and heating history.
Previous disadvantages derived from spectrophotometric analysis make the additional quantification of DNA advantageous. Electrophoresis on agarose gel accompanied by densitometry analysis of band intensity and later comparing with a DNA standard curve allows DNA quantity estimation. At the same time, this procedure evaluates DNA integrity as well as the identification of high contamination by RNA. Genomic DNA appears as a unique well-defined high molecular weight (HMW) band higher than 20 kb, and DNA degradation is shown as a faint smeared band.
A more sensitive and accurate assay for detecting genomic DNA concentration can be performed using an intercalating dsDNA fluorophore such as PicoGreen®. This assay allows the detection of 25 pg/mL dsDNA in the presence of common DNA contaminants.13 In addition, PicoGreen minimizes ssDNA and RNA fluorescence contribution, and genomic DNA integrity can be estimated because the measurement is strongly affected by DNA fragmentation.14,15 Therefore, similar results for DNA quantification of the same sample by PicoGreen and spectrophotometry suggest high integrity for DNA.
In contrast, a confounding issue for both spectrophotometric and fluorimetric measurements is the high variation in DNA concentration estimation within and between laboratories.16 Improvements in the consistency of measurement of DNA are essential for implementing ambitious multicenter experimental designs, for compliance with quality assurance recommendations and requirements, and for cutting-edge technologies such as next generation sequencing. A standardized and cost-effective workflow for the qualification of DNA preparations has been proposed,17 particularly when DNA sample integrity is low such as in formalin-fixed paraffin-embedded (FFPE) tissues.
Within this context, the Andalusian Public Health System Biobank has developed a normalized DNA extraction and quality control procedure valid for all types of DNA samples with the aim to fit the requirements of the researchers. DNA qualification includes DNA purity and integrity determination. In addition, we propose to integrate the results obtained for DNA qualification within the biobank DNA distribution process for research by considering the downstream application of requested samples.

Materials and Methods

Human biological samples and DNA preparation

Handling of human biological samples was carried out according to the national legal framework (Law on Biomedicine Research [July 2007]). The samples used were collected after informed consent of the donors and immediately anonymized. Local scientific and ethics committees approved the procedures performed in this work (32120017 project code). The samples used were (A) 118 frozen tissues in optimal cutting temperature (OCT) reactive (Tissue-Tek., Cat. No 4583), (B) 68 FFPE tissues, (C) 119 frozen EDTA blood samples and (D) 26 saliva samples collected in Oragene® system (DNA Genotek, Inc.; Cat. No. OG-250). The collection of samples was performed according to international recommendations and manufacturer's instructions.
For DNA isolation from high sample volumes, the paramagnetic beads based instrument Chemagic MSMI (PerkinElmer, Inc.) was used for each biospecimen. In brief, Chemagic DNA Blood Kit special (PerkinElmer, Inc.; Cat. No. CMG-703-1) was used for tissue sections but with Proteinase K for tissue (PerkinElmer, Inc.; Cat. No. 834) and Lysis Buffer 1 for tissue (PerkinElmer, Inc.; Cat. No. 805). DNA samples obtained from FFPE tissues were additionally cleaned with QIAamp DNA Mini Kit (Qiagen; Cat. No. 51304). Between 10 and 18 twenty micrometer sections for frozen tissues OCT and between 7 and 10 ten micrometer sections for FFPE tissues were used (the exact number of sections varied with the area occupied by the tissue after hematoxylin staining). Chemagic DNA Blood Kit special (PerkinElmer, Inc.; Cat. No. CMG-703-1) was used for 5 mL of blood whose plasma fraction was replaced by PBS buffer. Finally, Chemagic DNA Saliva Kit special (PerkinElmer, Inc.; Cat. No. CMG-1035) was used for 2 mL of saliva collected in Oragene system (DNA Genotek, Inc.; Cat. No. OG-250). The corresponding Tris-HCl elution buffers available in the kits were used.

Quantification and DNA purity determination by spectrophotometry

Absorbance at 260, 280, and 230 nm for 2 μL of each DNA sample was measured in duplicate using the Nanoquant plate on the Infinite F200 instrument (Tecan Trading AG). The corresponding elution buffer was used as the blank. An additional measurement at 340 nm for each sample was automatically made by the instrument to bypass the absorbance values due to Nanoquant plate contaminants. The machine was calibrated and cleaned according to the recommended manufacturer's instructions.
Concentration of DNA from 260 nm absorbance was calculated by the instrument according to the Lambert–Beer law. The 260/280 ratio was used as the purity indicator of the DNA samples. Since an optimum value for 260/280 ratio for pure DNA is 1.8, the percentage of samples for each group with a purity ratio between 1.6 and 2.0 (1.8 ± 0.2) was additionally determined. The purity from the 260/230 ratio was also estimated for each DNA sample and it was represented versus DNA concentration.

DNA integrity analysis by electrophoresis

To observe DNA integrity, 50 ng of each DNA sample based on spectrophotometric measurement was analyzed by electrophoresis on a 0.8% agarose gel stained with GelRed (Biotium; Cat. No. 41003). The Lambda-pUC Mix Marker 4 (Fermentas Life Sciences; Cat. No. SM0291) was also separated as a size reference. Densitometry analysis was performed by setting a square area for the HMW band higher than 20 kb and the smear. The ratio between the densities of HMW band and smear areas was calculated for each DNA lane. The percentage of samples for each group with the presence of a HMW band was additionally determined.

Quantification and integrity estimation of DNA samples by PicoGreen

Quant-iT™ PicoGreen dsDNA Assay Kit (Life Technologies; Cat. No. P7589) was used to quantify DNA by fluorescence. Lambda DNA contained in the kit was used to create a six-point standard curve from 3.125 to 100 ng/mL. DNA samples with a concentration determined by 260 nm absorbance higher than 100 ng/mL were diluted and later corrected through the dilution factor. Two microliters of each DNA and standard curve dilution were aliquoted into a CORNING 96 Flat Black plate (Corning, Inc.; Cat. No. 3650). 1× Tris-EDTA (TE) buffer was used as negative control. PicoGreen reagent was diluted 1:200 in 1× TE buffer and 198 μL was added to each well. Samples were mixed and incubated 15 minutes in darkness before their fluorescence was measured with the Infinite F200 instrument (Tecan Trading AG).
To estimate DNA integrity, the ratio between extraction yields in micrograms calculated using PicoGreen and spectrophotometry was determined. For tissue sections, yield was normalized for different samples using the nuclear area in square millimeters examined through hematoxylin staining. In brief, nuclei were counted in the microscope and the area occupied in square millimeters was estimated using a graticule. The total micrograms of DNA obtained for each sample was divided by the estimated area.

Real-time PCR assay

For the real-time polymerase chain reaction (PCR) assay, 50 ng of DNA from each sample was amplified for the GAPDH and RPLP0 genes (PCR products of 87 and 69 base pairs [bp], respectively) in a LightCycler® 96 System (Hoffmann-La Roche Ltd.) using the FastStart Essential DNA Green Master kit (Hoffmann-La Roche Ltd.; Cat. No. 064027121001). A negative control was included in each assay. For each sample, duplicate determinations were made and the CT value was analyzed. The primer sequences for real-time PCR are shown in Supplementary Table S1 (Supplementary Data are available online at www.liebertpub.com/bio).

PCR amplification

For PCR analysis, 50 ng of DNA from each sample was amplified for the ACVR2B, ZFX, AF4, and GAPDH genes. Twenty-five microliters amplification reactions contained 1 U Taq DNA polymerase (Qiagen; Cat. No. 201205); dNTPs 0.15 μM (Thermo Scientific; Cat. No. R0151, R0161, R0141, and R0171) for GAPDH and AF4, and 0.2 μM for ZFX and ACVR2B; 0.4 μM of specific primers for GAPDH and AF4, and 0.8 μM for ZFX and ACVR2B; Cl2Mg 1.5 mM (Qiagen; Cat. No. 201205) for GAPDH, and 2.5 mM for AF4, ZFX, and ACVR2B; and 0.5 ng/μL BSA (Sigma-Aldrich Co.; Cat. No. B2518-10 MG), only for the ACVR2B reaction. PCR products of 5049, 1137, 400, and 87 bp, respectively, were analyzed by agarose gel electrophoresis. The GeneRuler™ 100 bp Plus DNA Ladder and GeneRuler 1 kb Plus DNA Ladder (Thermo Scientific; Cat. No. SM0321 and SM1331, respectively) were also separated as size references. The primer sequences for PCR are shown in Supplementary Table S1.

Results

Quality indicators in DNA samples isolated from human 118 frozen tissues in OCT, 68 FFPE tissues, 119 frozen blood samples, and 26 saliva samples were analyzed.
The 260/280 purity ratio was obtained for each DNA sample, with the average value between 1.8 and 2.0 for all the groups (Table 1). For DNA extracted from FFPE tissue samples, only a single sample with a ratio out of range was found, as it is represented by the percentage of samples for each group with a purity ratio between 1.6 and 2.0. The 260/230 purity ratio was also determined for each DNA sample and represented versus its corresponding DNA concentration value (Fig. 1). The 260/230 ratio for high-concentration DNA was ∼2.0 for all groups (frozen tissue in OCT [Fig. 1A], FFPE tissue [Fig. 1B], frozen blood [Fig. 1C], and saliva [Fig. 1D]), whereas low-concentration DNA presented a higher 260/230 ratio for frozen tissue and blood samples.
FIG. 1. DNA purity 260/230 ratio. Absorbance at 260 and 230 nm was measured for each DNA sample isolated from frozen tissue in OCT (A), FFPE tissue (B), frozen blood (C), and saliva (D), and 260/230 ratio obtained was represented versus its corresponding DNA concentration based on spectrophotometric measurement. The trendline for each group of samples is shown. FFPE, formalin-fixed paraffin-embedded; OCT, optimal cutting temperature.
Table 1. DNA Purity 260/280 Ratio
Source of DNA260/280 ratio
Frozen tissue OCT1.85 ± 0.05 (100.0%)
FFPE tissue1.98 ± 0.03 (98.5%)
Frozen blood1.87 ± 0.05 (100.0%)
Saliva1.79 ± 0.06 (100.0%)
Absorbance at 260 and 280 nm was measured for each DNA sample isolated from frozen tissue in OCT, FFPE tissue, frozen blood, and saliva, and the purity of the DNA was calculated using 260/280 ratio. The average 260/280 ratio and standard deviation for each type of source of DNA are shown. Since an optimum value for 260/280 ratio for pure DNA is 1.8, the percentage of samples for each group with a purity ratio between 1.6 and 2.0 was determined (in parentheses). Only for FFPE tissue, we found a single DNA sample with a 260/280 ratio out of range (2.1).
FFPE, formalin-fixed paraffin-embedded; OCT, optimal cutting temperature.
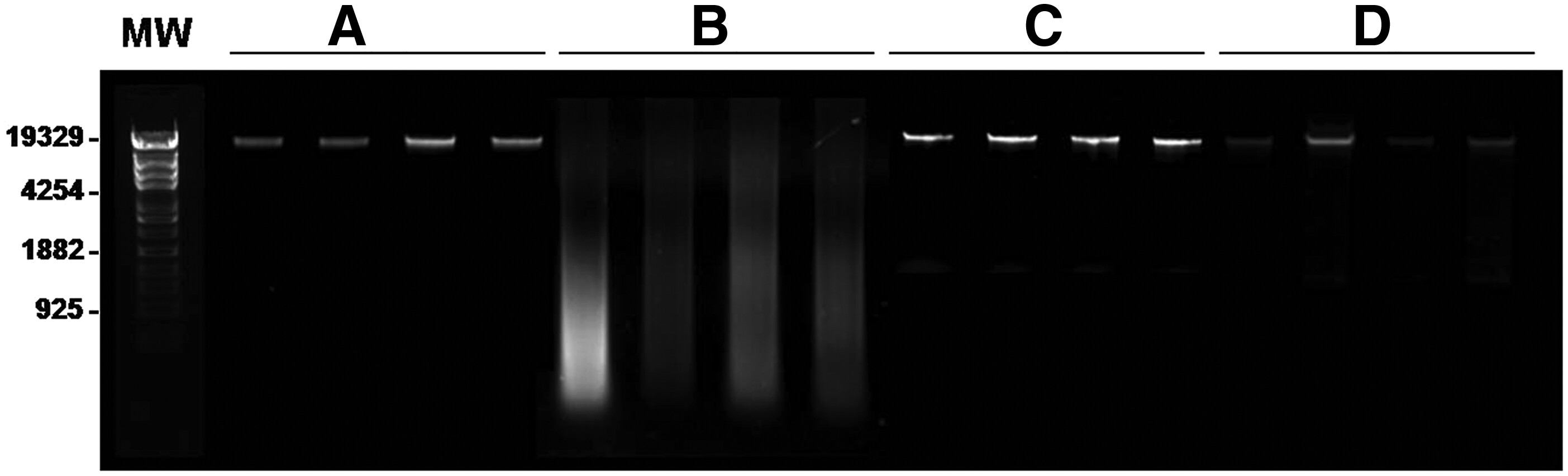
Next, we observed the integrity for DNA samples from frozen tissue in OCT, FFPE tissue, frozen blood, and saliva by electrophoresis on an agarose gel (Fig. 2), and we estimated the ratio between the HMW band higher than 20 kb and the smear using densitometry analysis (Table 2). The percentage of DNA samples with presence of the HMW band was also determined. DNA integrity for all the groups of samples was high as the percentage near 100% indicated, except for DNA samples isolated from FFPE tissue, which were observed as a smeared band and the HMW band was not observed. Densitometric measurements supported the integrity results as the HMW band/smear ratio was considerably higher than 1.0 for frozen tissue and blood samples and lower than 1.0 for FFPE tissues. The ratio for saliva samples was 1.31 because of the lower intensity of the HMW band.
FIG. 2. DNA integrity observation by electrophoresis in agarose gel. DNA samples were analyzed by loading 50 ng of DNA on a 0.8% agarose gel. The Lambda-pUC Mix Marker 4 (MW) was also separated as size reference. Four representative samples of DNA for frozen tissue in OCT (A), FFPE tissue (B), frozen blood (C), and saliva (D) are shown.
Table 2. DNA Integrity Analysis by Agarose Gel Electrophoresis
Source of DNAHMW band/smear ratio
Frozen tissue OCT4.08 ± 1.38 (97.7%)
FFPE tissue0.66 ± 0.23 (0.0%)
Frozen blood4.03 ± 1.19 (100.0%)
Saliva1.31 ± 0.23 (96.1%)
The extracted DNA samples from frozen tissue in OCT, FFPE tissue, frozen blood, and saliva were evaluated by loading 50 ng of DNA on a 0.8% agarose gel electrophoresis. Densitometry analysis was performed to gauge the ratio between the HMW band higher than 20 kb and the smear. The average ratio and standard deviation for each type of source of DNA are shown. The percentage of samples for each group with presence of a HMW band was also determined (in parentheses).
HMW, high molecular weight.
When DNA integrity was estimated using the ratio between both absolute yields by PicoGreen and by spectrophotometry, results corroborated the higher integrity for DNA samples from frozen tissue, blood, and saliva with trend values of 1.0, and the lower integrity for DNA from FFPE tissue. However, the ratio for blood was lower than that we expected from agarose gel results (Fig. 3).
FIG. 3. PicoGreen®/A260 yield ratio. PicoGreen DNA quantification and DNA quantification using Lambert–Beer law from 260 nm absorbance were performed for each DNA sample isolated from frozen tissue in OCT (A), FFPE tissue (B), frozen blood (C), and saliva (D). Absolute yields in micrograms of DNA obtained for both methods were calculated. The average ratio and standard deviation of the ratio between absolute yield using PicoGreen and spectrophotometry for each type of source are represented.
To determine the usability of DNA samples for downstream applications, a real-time PCR assay for the GAPDH and RPLP0 genes was performed. Although all DNA samples amplified for both genes, the CT value for FFPE tissue was significantly higher (almost five cycles) (Fig. 4), supporting the higher fragmentation of DNA.
FIG. 4. DNA performance for real-time PCR assay. Fifteen randomized DNA samples isolated from frozen tissue in OCT (A), FFPE tissue (B), frozen blood (C), and saliva (D) were amplified by real-time PCR for the GAPDH (left) and RPLP0 (right) genes. The average CT value and standard deviation for each type of source were calculated. PCR, polymerase chain reaction.
In fact, when different sized PCR products were amplified (5049, 1137, and 400 bp corresponding to ACVR2B, ZFX, AF4 genes, respectively), DNA from FFPE tissue failed to amplify the 400 bp product (Fig. 5). Only frozen tissue in OCT and blood were able to amplify all the products.
FIG. 5. DNA quality for PCR analysis. Fifteen randomized DNA samples isolated from frozen tissue in OCT (A), FFPE tissue (B), frozen blood (C), and saliva (D) were amplified by PCR for the ACVR2B, ZFX, AF4, and GAPDH genes. PCR products of 5049, 1137, 400, and 87 bp, respectively, were analyzed by agarose gel electrophoresis. Four representative samples for each group are shown.

Discussion

The development of molecular biology techniques has accelerated research on genetic determinants of disease and interactions between them and environmental, lifestyle, and/or social factors. This progress would not have been possible without high-quality DNA from a large number of individuals. DNA qualification is an essential process to guarantee the DNA suitability for downstream applications, as a wide variety of samples can be used for DNA isolation. Here we analyzed the purity, integrity, and usability of DNA derived from more prevalent human samples processed in our institution, as potential material for research in molecular testing: frozen tissue in OCT, FFPE tissue, frozen blood, and saliva.
When histopathological samples are necessary for molecular studies, frozen tissues in OCT are the best option as a DNA source. DNA samples from FFPE tissue are of questionable integrity and usability, as the HMW band/smear ratio, PicoGreen/A260 yield ratio, and PCR results indicate (Table 3). Fortunately, initiatives as TuBaFrost project guarantee frozen tissue availability.18 However, methods for using FFPE tissue samples from diagnostic archives in molecular techniques have been improved, offering a new alternative of precious samples for research.19 Also, new technologies for tissue stabilization such as the PAXgene Tissue System have been developed to allow molecular analysis together with morphological features.20 Thus, fixed tissues have emerged as important materials in future research when frozen tissue is not available.
Table 3. DNA Quality and Usability Indicators
Source of DNA260/280 purity ratio260/230 purity ratioHMW band/smear ratioPicoGreen®/A260 yield ratioReal-time PCRPCR
Frozen tissue OCT++++++++++++++++++
FFPE tissue+++++++++
Frozen blood+++++++++++++++++
Saliva+++++++++++++++
DNA purity and integrity results obtained for DNA samples isolated from frozen tissue in OCT, FFPE tissue, frozen blood, and saliva were compared and scored. Usefulness of the DNA samples for real-time PCR and PCR assays was also scored and included.
+++, very satisfactory; ++, acceptable; +, questionable. PCR, polymerase chain reaction.
Traditionally, and our results so support it (Table 3), blood samples are the material of choice for research as the quality of DNA extracted is high. However, prospective collection of these samples involves an invasive procedure for donors. A potential solution would be to rescue residual DNA samples for research from clinical blood collected for genetic diagnoses. In fact, residual clinical samples have been previously used for other applications.21,22
The use of saliva as an alternative source of DNA for a variety of genetic studies has been explored even for other species.2325 The main advantage of saliva compared with blood is the noninvasive collection of saliva, but a disadvantage is that nonhuman DNA isolated must be discarded.26 In addition, our results of PicoGreen/A260 yield ratio suggest that integrity of DNA from saliva is high, even more than for DNA extracted from blood. However, these data were actually not expected, as results for integrity by electrophoresis and PCR amplification for 5049 bp product showed (Table 3). We hypothesize that the differences observed are random, due to the variability obtained for PicoGreen measurements, as observed by the large measurement standard deviations. Integrity estimation by PicoGreen/A260 yield ratio must, therefore, be carefully considered. An alternative explanation is the over quantification isolated from blood samples of DNA using the Lambert–Beer law from measurement of 260 nm absorbance, because of RNA contamination, with usability results not affected by RNA presence. This hypothesis will be contrasted in the future with tools for specific RNA quantification such as RiboGreen.® So, quantification using a fluorescent assay is always recommended if precise concentration of high-quality DNA is needed, especially for DNA from FFPE tissue.17 Similar to Simbolo et al., we agree with the need for standardized DNA qualification, which is effective for DNA isolated from any material, regardless of the collection and processing protocols. A validated procedure in biobanks must be developed.
In summary, the human biological material of choice as a source of DNA for research will depend on the usefulness and availability of the original sample for the target study. First, if any material is valid, blood is the most approachable prospective option for providing high-quality DNA, since frozen tissue availability depends on diagnostic interventions. Saliva can also be chosen when noninvasive collection is mandatory. We used the Oragene system for saliva collection, but other collection systems must be validated for quality and usability of extracted DNA. If diseased tissue is a requisite or samples are available, the recommended source of DNA would be frozen tissue.
When DNA samples from different sources are stored in biobanks, staff must consider the downstream applications before distribution of samples, allowing for the availability of appropriate DNA such as DNA from frozen tissue in OCT for restrictive technologies.

Acknowledgment

This study has been funded in whole by public funds from the Andalusian Public Health System Biobank.

Author Disclosure Statement

No conflicting financial interests exist.

References

1. Visvikis S, Schlenck A, Maurice M. DNA extraction and stability for epidemiological studies. Clin Chem Lab Med, 1998; 36:551–555.
2. Murtagh MJ, et al. Realizing the promise of population biobanks: A new model for translation. Hum Genet, 2011; 130:333–345.
3. Glasel JA. Validity of nucleic acid purities monitored by 260 nm/280 nm absorbance ratios. Biotechniques, 1995; 18:62–63.
4. Hassan R, et al. Guidelines for nucleic acid detection and analysis in hematological disorders. Malays J Pathol, 2015; 37:165–173.
5. Gallagher S. Quantitation of nucleic acids with absorption spectroscopy. Curr Protoc Protein Sci, 2001;Appendix 4:Appendix 4K.
6. Usman T, et al. Comparison of methods for high quantity and quality genomic DNA extraction from raw cow milk. Genet Mol Res, 2014; 13:3319–3328.
7. Aleksic JM, et al. A simple and efficient DNA isolation method for Salvia officinalis. Biochem Genet, 2012; 50:881–892.
8. Liu PF, Avramova LV, Park C. Revisiting absorbance at 230 nm as a protein unfolding probe. Anal Biochem, 2009; 389:165–170.
9. Stulnig TM, Amberger A. Exposing contaminating phenol in nucleic acid preparations. Biotechniques, 1994; 16:402–404.
10. Wilfinger WW, Mackey K, Chomczynski P. Effect of pH and ionic strength on the spectrophotometric assessment of nucleic acid purity. Biotechniques, 1997; 22:474–476, 478–481.
11. Sambrook J, Russell DW. The Condensed Protocols from Molecular Cloning: A Laboratory Manual, Cold Spring Harbor, NY: Cold Spring Harbor Laboratory Press; 2006: v, 800.
12. Lewis LK, et al. Interference with spectrophotometric analysis of nucleic acids and proteins by leaching of chemicals from plastic tubes. Biotechniques, 2010; 48:297–302.
13. Singer VL, et al. Characterization of PicoGreen reagent and development of a fluorescence-based solution assay for double-stranded DNA quantitation. Anal Biochem, 1997; 249:228–238.
14. Sedlackova T, et al. Fragmentation of DNA affects the accuracy of the DNA quantitation by the commonly used methods. Biol Proced Online, 2013; 15:5.
15. Li X, et al. Comparison of three common DNA concentration measurement methods. Anal Biochem, 2014; 451:18–24.
16. Brown J, et al. Observational study on variability between biobanks in the estimation of DNA concentration. BMC Res Notes, 2009; 2:208.
17. Simbolo M, et al. DNA qualification workflow for next generation sequencing of histopathological samples. PLoS One, 2013; 8:e62692.
18. Morente MM, et al. TuBaFrost 2: Standardising tissue collection and quality control procedures for a European virtual frozen tissue bank network. Eur J Cancer, 2006; 42:2684–2691.
19. Wagle N, et al. High-throughput detection of actionable genomic alterations in clinical tumor samples by targeted, massively parallel sequencing. Cancer Discov, 2012; 2:82–93.
20. Viertler C, et al. A new technology for stabilization of biomolecules in tissues for combined histological and molecular analyses. J Mol Diagn, 2012; 14:458–466.
21. Bernacki SH, et al. Establishment of stably EBV-transformed cell lines from residual clinical blood samples for use in performance evaluation and quality assurance in molecular genetic testing. J Mol Diagn, 2003; 5:227–230.
22. Hollegaard MV, et al. Robustness of genome-wide scanning using archived dried blood spot samples as a DNA source. BMC Genet, 2011; 12:58.
23. Quinque D, et al. Evaluation of saliva as a source of human DNA for population and association studies. Anal Biochem, 2006; 353:272–277.
24. Ng DP, et al. Saliva as a viable alternative source of human genomic DNA in genetic epidemiology. Clin Chim Acta, 2006; 367:81–85.
25. Mitsouras K, Faulhaber EA. Saliva as an alternative source of high yield canine genomic DNA for genotyping studies. BMC Res Notes, 2009; 2:219.
26. Garcia-Closas M, et al. Collection of genomic DNA from adults in epidemiological studies by buccal cytobrush and mouthwash. Cancer Epidemiol Biomarkers Prev, 2001; 10:687–696.

Supplementary Material

Please find the following supplemental material available below.

For Open Access articles published under a Creative Commons License, all supplemental material carries the same license as the article it is associated with.

For non-Open Access articles published, all supplemental material carries a non-exclusive license, and permission requests for re-use of supplemental material or any part of supplemental material shall be sent directly to the copyright owner as specified in the copyright notice associated with the article.